婦產科專訪

發佈日期:110/09/23

現代女性的疾病珄國內外資料都顯示,子宮內膜異位症愈來愈普遍,有可能成為下一個世紀重要的婦女疾病!!!子宮內膜異位症一般婦女的發生率約為1%~5%,這些人平常並無症狀,或症狀輕微,自己也未曾查覺,也能照常生兒育女。不孕症的婦女中,發生率便高達23%~40%,子宮內膜異位症,排卵功能不良和骨盆腔發炎導致輸卵管阻塞,併稱女性不孕症的三大原因。另外子宮肌瘤-國內30歲以上婦女罹患以及的比例高達20%,而40~50歲婦女發生率更高達30%!今天節目中當我們邀請醫生為各位女性同胞解答有關這些疾病的疑惑

Q1: 什麼是子宮內膜異位症?如何診斷?

A1: 子宮內膜異位症是一種常見的婦科疾病,定義為子宮內膜組織出現在子宮腔以外的其他身體部位。這些子宮內膜有時會腫脹並出血,使血液流到體腔之內,令患者發炎和感到痛楚。子宮內膜異位症是繼發性經痛的主要原因,更有機會減低成功受孕的機會。子宮內膜異位症是指有功能的子宮內膜組織,生長在子宮腔以外的任何部位而引起的病變及症狀。異位的子宮內膜組織可受卵巢性激素影響,呈現與月經周期相似的變化,同時亦刺激周圍的組織充血、發炎、纖維增生及黏連。但「子宮內膜異位症」是良性的疾病,不是癌症,可以靠藥物治療! 子宮內膜異位症的診斷需要以手術方式或腹腔鏡檢查確認。何時進行腹腔鏡來確認子宮內膜異位症的存在需要由醫師依據臨床症狀做決定。超音波可以幫助判斷子宮內膜異位症是否已經波及卵巢,但無法排除子宮內膜異位症的存在。

Q2: 是不是經痛越來越痛就要就醫?何時該去檢查是否為子宮內膜異位症?

A2: 子宮內膜最常沉積於卵巢、子宮背面與大腸表面等處,平常沒症狀,月經來潮時子宮充血、白 血球聚集加上子宮外回流的血液,形成極度刺激的狀態。會造成下墜感、腰酸背痛、腹瀉、暈眩、劇烈的生理痛、及休克等各種症狀。許多女性從年輕時便開始有症狀,最常見的時期在25歲到45歲,生殖週期最旺盛的時段,而在這時期,大約1/3到1/2的生育女性,經痛的原因是子宮內膜異位症;反之,並非所有內膜異位的女性都會有經痛。經痛,可能是原發性加劇或續發性,其經痛的特點為,起使於月經來臨之前數天持續至月經開始或結束時。疼痛的性質為悶痛,疼痛的位置為下腹中央或兩側、背部,有時會牽連至兩腿。所以只要身體有不適時,還是儘早就醫較好

Q3:子宮內膜異位症的影響?

A3: 不孕症-子宮內膜異位症約有30%-50%的比例會不孕,為何會不孕到目前仍未有結論;但是許多的患者, 在腹腔鏡檢查時,輸卵管都是通暢的,而且大多數也沒有內膜異位的侵蝕,但這些病患,經治 療後許多人都可自然受孕。很明顯地,縱使是很小的子宮內膜異位點,沉澱在離輸卵管很遠的 位置,也會造成不孕的後果。由臨床的實驗證據,可確定真正原因是:由於子宮內膜在骨盆腔算為一種異物,平時便會受到血中白血球的攻擊,而這些反應,所釋出的生化產物,會影響到各種生理功能:卵子的形成、排 卵、卵子被輸卵管拾取、精蟲的運送、精卵結合的能力、胚胎的發育一直到著床等,均會產生 干擾的效果;隨著病症程度加重,婦女達成受孕的能力,便慢慢下降,直到不孕症門診檢查才被確定。

Q4: 子宮內膜異位治療新趨勢?

A4: 性腺刺激素釋放素協同劑(GnRH analogue): 一個月皮下注射一針,手術後注射三至六個月,以減少子宮內膜異位症復發.此藥可從腦下垂體直接抑制性腺刺激素分泌,造成假停經現象,而達到減少子宮內膜異位症復發的目的.

性腺刺激素釋放素協同劑優點:安全.方便,一個月打一次,副作用是會暫時假性停經另還有腹腔鏡或服用黃體素/避孕藥/懷孕

建議還是有問題提早就醫詢問醫師,及早治療保障自身健康

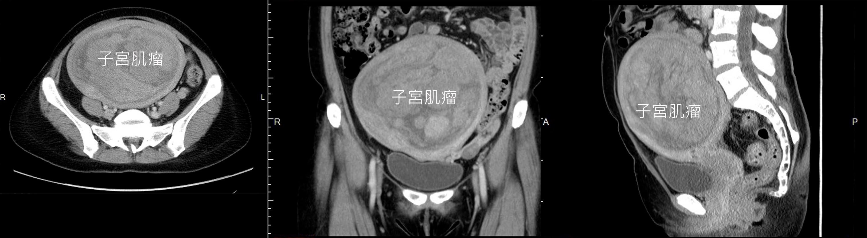
Q5:什麼是子宮肌瘤以及症狀珄

A5:子宮肌瘤是在骨盆腔中,最常見的良性腫瘤。子宮肌瘤不會發生在青春前期的女孩,大都發生在生育年齡的婦女中,大約1/4的婦女都有子宮肌瘤,而年紀愈大的婦女,其比例愈高,可以到40-50%的機會。如果將切除下來的子宮做分析,更有8成的子宮內含有子宮肌瘤,如果仔細的切片,有統計發現停經前的婦女平均有7.6個肌瘤;在更年期後,大部分但不是全部,子宮肌瘤會萎縮。但是很幸運的,這些長在子宮上的肌瘤大多是良性,停經前惡性的比例大約只有0.2%;但是如果停經後肌瘤還是持續長大且合併不正常出血和腹痛,其惡性的機會就會上升到1%,因此如果有子宮肌瘤的婦女最好停經前後還是要持續追蹤肌瘤的狀況。

子宮肌瘤的症狀

  一、不正常子宮出血

這是肌瘤最常見的症狀,特別是肌瘤位置在子宮內膜上的時候,可能會導致經血量過長過多,嚴重的時候會造成貧血。

二、疼痛

肌瘤內部或是有變性或壞死,有時會讓患者覺得十分疼痛,這通常在比較大的肌瘤才會發生。

三、腹部腫塊

比較瘦的人和過大的肌瘤可能會在腹部摸到硬塊,在診斷為肌瘤前,患者常常認為自己變胖。

四、泌尿道症狀

若肌瘤壓迫到膀胱可能會讓膀胱容積變小導致頻尿,壓迫到直腸會造成排便不順。

五、不孕或流產

長在子宮內膜上的肌瘤,可能會讓該處的血行或內膜不穩定,影響胚胎著床;若肌瘤位置剛好在胚胎附近,可能會壓迫阻礙胚胎的發育,造成胎兒畸型或流產。

Q6:若是停經中的婦女也會長子宮肌瘤珄子宮肌瘤會造成不孕珄與其治療方式珄

A6: 60%的停經女性,子宮肌瘤仍有可能從身體獲得養分,愈長愈大,停經荷爾蒙分泌減少,子宮肌瘤確實會萎縮,但已經「存在的肉瘤,不可能憑空消失。」不少女性停經後仍補充營養食品,身體不分泌女性荷爾蒙,卻可能吃下肚。治療方面,停經前會因為是否要保留子宮和生育能力,停經後的仍持續增大的子宮肌瘤則考慮是否惡性的可能而去積極治療

治療方式

(1)  定期觀察: 對於那些不大的肌瘤,或是沒有造成明顯的臨床症狀,可以定期觀察;子宮肌瘤會受女性賀爾蒙的刺激而長大,所以在更年期之後,肌瘤應該開始萎縮變小,若停經前沒有任何臨床症狀的話,停經後便不大可能再被肌瘤的問題所困擾了。

(2)  常見的藥物治療:。性腺刺激素釋放素協同劑(GnRH analogue) (柳培林):施打3針後可將肌瘤縮小至少一半,性腺刺激素釋放素協同劑(GnRH analogue): 一個月皮下注射一針,手術後注射三至六個月,以減少子宮內膜異位症復發.此藥可從腦下垂體直接抑制性腺刺激素分泌,造成假停經現象,而達到減少子宮內膜異位症復發的目的.

性腺刺激素釋放素協同劑優點:安全.方便,一個月打一次,副作用是會暫時假性停經另還有腹腔鏡或服用黃體素/避孕藥/懷孕

 部分子宮肌瘤可能會讓女性不易受孕,或受孕後不易著床,包括:

◎突出於子宮腔的黏膜下肌瘤,會影響受精卵著床,因此容易造成不孕!先嘗試自然懷孕,如果試過一段時間仍不能懷孕或懷孕後容易流產,就要考慮手術治療。

◎若子宮肌瘤長在受精卵容易著床的位置,就算是肌肉層間質肌瘤,或是只有1公分的黏膜下肌瘤,都要切除,否則會影響著床,不易懷孕!因此,子宮肌瘤(尤其是「黏膜下肌瘤」)容易造成不孕或重覆流產,即使懷孕也和胎位不正、難產有關係。對於還想生育的患者,如果肌瘤不是太大,並不需要切除(除非是長在會影響著床的位置);如果症狀明顯,可接受經陰道子宮腔鏡肌瘤切除術來治療,只切除肌瘤,保留子宮;若情況比較嚴重,甚至需要在治療過後儘速以人工的方式懷孕,以免肌瘤可能又會很快地復發。根據研究顯示,有20~25﹪的肌瘤會在兩年內復發。所以,婦女在手術後必須定期回診做超音波,以確定肌瘤是否有復發。如果有復發而再度造成明顯的症狀,仍須接受手術或藥物治療。

Q7女性同胞該如何預防與面對婦科疾病的發生珄

A7: 1.尋找子宮內膜異位症的婦科醫生。內膜異位雖然是很普遍的婦科疾病,但不同醫生有不同的訓練或專長,可透過病友團體或親朋好友的介紹,尋找內膜異位症的專家。有經驗的醫生能做適切的治療,在去除疾病之外,維持病人良好的生育能力,並減少症狀和疾病的復發。

 2.經由檢查早期發現疾病。研究發現,子宮內膜異位有明顯的遺傳傾向,媽媽或姊妹有子宮內膜異位的女性,得到這個病的機會比一般人高出7倍。因此媽媽或姊姊有嚴重經痛或經診斷患有內膜異位的女性,應該主動去檢查,以利早期發現,掌握治療的先機。若是內膜異位的患者,則應該按照醫生的指示,定期回診或檢查。

3.減少排卵次數。減少排卵的次數,可以減少內膜異位組織的增生。懷孕是最自然的方式,吃避孕藥是另一種選擇,但是肥胖和抽菸女性不適合吃避孕藥,要和醫生討論做決定。

4.提高免疫能力。如前所述,女性的身體要有健全的免疫系統,才能有力的吞噬處理流竄的經血和內膜組織。規律的生活、足夠的休息和正確的飲食,能有效的提高免疫能力。調整生活中的壓力,保持身心愉快也很重要,憂鬱沮喪都會降低免疫能力。

5.養成運動的習慣。運動能增加體內男性荷爾蒙的濃度,男性荷爾蒙能對抗女性荷爾蒙的作用,其原理和效果與服用療得高或避孕藥一樣。研究顯示,每週運動超過2小時的女性,得到子宮內膜異位的機率比沒有運動者少了一倍。

6.尋找病友團體。內膜異位是愈來愈普遍的疾病,大部份的醫院都能處理治療,但醫生通常沒有太多時間解釋所有的狀況,因此,加入病友團體是一個很好的選擇,透過別人經驗的分享,可以知道自己不是第 一個碰到困難的人,許多難以啟齒的生理現象或心理障礙,也可以尋找病友或護理師的協助。

目前國內的病友團體是中華民國子宮內膜異位症婦女協會,

網址www.eataiwan.org.tw,電話27135211*3188。